Sign In
Register
Athlepedia, The Athletics Wiki
Explore
Main Page
All Pages
Community
Interactive Maps
Recent Blog Posts
Top Categories
Exercises
Equipment
CrossFit
CrossFit Named WODs
CrossFit Journal
CrossFit Games
CrossFit Radio
Operation Phoenix
CrossFit Firsts
People
Anatomy
All Categories
Community
Forum
Athlepedia Projects
Official Athlepedia Group
Improving Athlepedia
Requested Articles
Latest Images
Create New Article
Sign In
Don't have an account?
Register
Sign In
Menu
Explore
More
History
Advertisement
Skip to content
Athlepedia, The Athletics Wiki
832
pages
Explore
Main Page
All Pages
Community
Interactive Maps
Recent Blog Posts
Top Categories
Exercises
Equipment
CrossFit
CrossFit Named WODs
CrossFit Journal
CrossFit Games
CrossFit Radio
Operation Phoenix
CrossFit Firsts
People
Anatomy
All Categories
Community
Forum
Athlepedia Projects
Official Athlepedia Group
Improving Athlepedia
Requested Articles
Latest Images
Create New Article
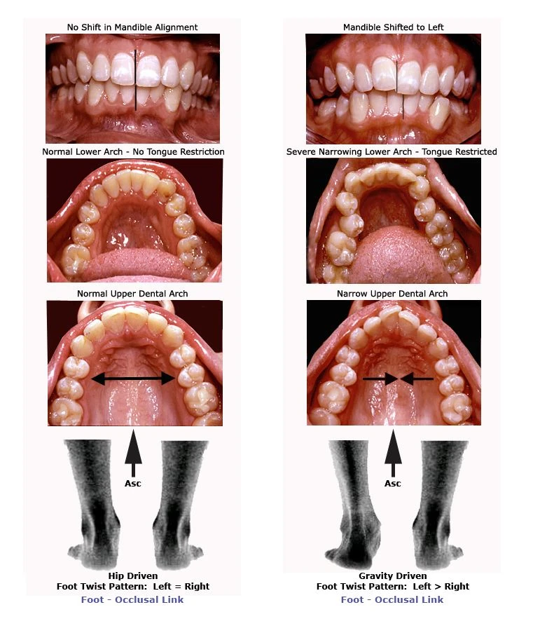
Dental Occlusion is Impacted by Foot Motion
Sign in to edit
History
Purge
Talk (0)
Advertisement